你有没有发现,牙齿上的牙结石真是让人头疼不已?那些顽固的小东西,不仅让牙齿看起来不够美观,还可能引发一系列口腔问题。别急,今天我就要给你带来一份特别的礼物——去除牙结石的视频攻略!跟着我,一起揭开牙结石的神秘面纱,让你的牙齿重焕光彩!
牙结石的“前世今生”

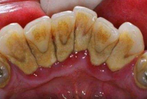
首先,让我们来了解一下牙结石这个小家伙。牙结石,又称牙石,是牙齿表面的一种硬质沉积物,主要由食物残渣、细菌、唾液和矿物质组成。它通常在牙齿表面形成,随着时间的推移,会变得越来越厚,甚至深入牙缝。
牙结石的形成过程是这样的:当你吃东西时,食物残渣会留在牙齿表面,细菌就会趁机繁殖。这些细菌会产生酸性物质,腐蚀牙齿表面的珐琅质,形成牙菌斑。如果不及时清除,牙菌斑就会钙化,变成牙结石。
去除牙结石,视频攻略来帮忙

现在,让我们来看看一些去除牙结石的视频攻略,它们可是帮了不少人解决了这个难题呢!
1. 牙刷刷刷刷

首先,我们要准备好一把软毛牙刷和牙膏。刷牙是去除牙结石的基础,每天至少刷两次,每次刷牙时间不少于2分钟。刷的时候,要特别注意刷到牙齿的各个面,包括牙缝和牙龈。
2. 牙线来帮忙
牙线是去除牙缝中牙结石的好帮手。将牙线轻轻插入牙缝,上下拉锯式地清洁牙缝,直到感觉清洁为止。
3. 水牙线神器
如果你觉得牙线使用起来不方便,可以试试水牙线。水牙线通过高压水流冲刷牙缝,有效去除牙结石。
4. 漱口水辅助
使用漱口水可以帮助杀死口腔中的细菌,减少牙结石的形成。选择一款适合自己的漱口水,每天使用,效果更佳。
5. 专业洁牙
如果牙结石已经比较严重,建议去口腔医院进行专业洁牙。医生会使用专业的洁牙工具,彻底清除牙结石,让你的牙齿焕然一新。
去除牙结石,视频教程大放送
下面,我就为你推荐几个去除牙结石的视频教程,让你轻松学会去除牙结石的方法。
视频一:《如何正确刷牙去除牙结石》
这个视频详细介绍了正确刷牙的方法,包括刷牙的姿势、刷牙的时间等,让你轻松学会去除牙结石。
视频二:《牙线使用技巧,轻松去除牙缝牙结石》
这个视频教你如何正确使用牙线,轻松去除牙缝中的牙结石。
视频三:《水牙线使用方法,高效去除牙结石》
这个视频介绍了水牙线的使用方法,让你轻松去除牙结石。
视频四:《漱口水使用技巧,预防牙结石形成》
这个视频教你如何正确使用漱口水,预防牙结石的形成。
视频五:《专业洁牙过程,彻底去除牙结石》
这个视频展示了专业洁牙的过程,让你了解洁牙的原理和效果。
通过这些视频教程,相信你已经对去除牙结石有了更深入的了解。记住,保持良好的口腔卫生习惯,定期去除牙结石,让你的牙齿健康美丽!